患者发热气促入院,“肺炎”抗感染无效,影像见反晕轮征,激素治疗使肺内的隐秘侵袭“峰回路转”?
来源: SIFIC感染视界 12-17


一、病史简介


女性,54岁,江苏人,2025-02-17 入复旦大学附属中山医院感染病科。



主诉:发热伴气促2周余。 



现病史:

2025-02-03 出现发热伴气促,Tmax 38℃,有咳嗽咳白痰、稍有胸痛,02-09当地医院查WBC 6.96×10^9/L,N 65.2%,hsCRP 0.5mg/L,胸部CT:两肺散在斑片、条片状密度增高影,边缘模糊,予拉氧头孢、阿莫西林治疗。

2025-02-12 症状无明显改善,当地医院复查胸部CT较02-09相仿(未见影像资料)。 

2025-02-17 为明确肺内病灶性质收入中山医院感染病科。



既往史:高脂血症,10年前因子宫肌瘤、卵巢囊肿行子宫+双附件切除术;自诉头孢他啶过敏。


二、入院检查(2025-02-17)


【体格检查】 


T 37.3℃,P 106次/分,R 20次/分,BP 120/70mmHg。

神志清晰,精神尚可,呼吸平稳,双肺未闻及明显干湿性啰音及哮鸣音,心律齐,未闻及杂音;腹部平软。


【实验室检查】 


血常规:WBC 4.90×10^9/L,N 62.5%,Hb 132g/L。

尿常规:蛋白阴性,红细胞镜检阴性。

炎症标志物:ESR 33mm/h,hsCRP 13.1mg/L,PCT 0.03ng/mL。

血气分析(鼻导管吸氧3L/min):pH 7.41,PaCO2 40mmHg,PaO2 72mmHg。

肝肾功能、电解质、心脏标志物、出凝血功能+D二聚体均正常。

肿瘤标志物:CA15-3 27.5U/mL,NSE 18.6ng/ml,Cyfra211 10.1ng/ml,余阴性。

自身抗体:ANA 1:100,余ANCA、ENA等均阴性。

T-SPOT.TB A/B 1/1(阴性/阳性对照 0/160),G试验、GM试验、隐球菌荚膜抗原、CMV-DNA、EBV-DNA均阴性。

细胞免疫:CD4细胞绝对计数 436 cells/ μL。


【辅助检查】


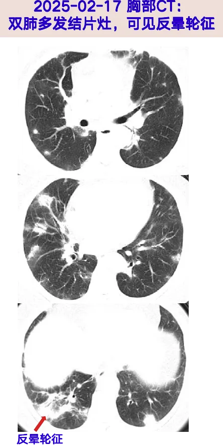
胸部增强CT:两肺胸膜下区为主散在多发斑片、结节状密度增高影伴实变,可见支气管充气征,右下肺病灶见反晕轮征。



三、临床分析



病史特点:中老年女性,临床表现为急性发热伴气促,经验性抗感染治疗(拉氧头孢、阿莫西林等)效果不佳,实验室检查见炎症指标CRP轻度升高,部分肿瘤标志物升高,胸部CT表现为两肺散发斑片、结节状密度增高影伴实变,可见反晕轮征,需考虑以下鉴别诊断:



1、细菌性肺炎:本例患者急性起病,发热及气促为主要症状,胸部CT见两肺散发结节、斑片状密度升高影伴实变,需考虑细菌性肺炎,根据影像学特点,可能的病原体包括金葡菌、革兰阴性杆菌、肺炎支原体等,但血白细胞计数不高、CRP仅轻度升高,且拉氧头孢、阿莫西林治疗效果不佳,与常见普通细菌引起的肺炎不甚相符,明确或排除诊断,需要相关的微生物检查。



2、真菌性肺炎:本例患者急性呼吸道症状起病,CT见两肺多发结片影,右下肺病灶见反晕轮征,常规抗细菌治疗效果不佳,虽GM试验阴性,仍需警惕肺内真菌感染(如曲霉菌、毛霉菌)的可能,可进一步完善痰真菌涂片+培养,真菌三联检(曲霉菌属、新型隐球菌、耶氏肺孢子菌),必要时可行CT引导下肺穿刺活检、支气管镜检查,通过BALF及肺组织的病原学涂片培养、mNGS及病理结果明确诊断。



3、肺血管炎:患者起病时有发热症状,实验室检查CRP稍升高,CT见肺内多处病灶沿支气管血管束分布,且抗生素治疗效果不佳,需考虑血管炎累及肺部可能,虽无咯血、蛋白尿血尿等表现,自身抗体仅ANA弱阳性(滴度 1:100),但仍需结合肺组织病理活检结果以排除该诊断。



4、机化性肺炎:患者症状主要表现为发热、气促,血白细胞不高,CRP稍高,同时生素治疗效果不佳,影像学见两肺散发结节、斑片影伴实变,部分可见“反晕轮征”,故机化性肺炎诊断不除外,考虑机化性肺炎为排他性诊断,入院后需进一步完善行经皮肺穿刺或经支气管镜肺活检明确病理。


四、进一步检查、诊治过程和治疗反应


2025-02-17 予左氧氟沙星 0.5g qd po 经验性抗感染,同日行CT引导下左下肺病灶穿刺活检。


2025-02-18 肺组织及痰涂片找细菌、真菌、抗酸杆菌阴性,XPERT-TB阴性;痰真菌三项(曲霉菌属、新型隐球菌、肺孢子菌DNA)阴性。


2025-02-18 肺组织病理:局灶区散在个别淋巴细胞浸润,少量炭末沉积,未见肿瘤及肉芽肿;肺组织mNGS(02-17采样):阴性。




2025-02-20 行支气管镜检查:各级支气管管腔通畅、粘膜光滑,未见新生物,于右侧中叶支气管外侧段行TBLB及灌洗。


2025-02-21 肺组织、BALF及气管镜后痰涂片找细菌、真菌、抗酸杆菌(-),XPERT.TB(-),BALF隐球菌荚膜抗原及GM试验(-);ROSE:涂片检大量纤毛细胞,少量淋巴细胞及组织细胞;肺组织初步病理:间质内少量急慢性炎症细胞浸润。


2025-02-21 考虑机化性肺炎可能大,加用甲泼尼龙40mg qd ivgtt×5天抗炎。


2025-02-22 随访血常规:WBC 4.14×10^9/L,N 76.6%;炎症标志物较前下降:ESR 27mm/h,hsCRP 3.4mg/L;肺组织mNGS(02-20采样):检出少量铜绿假单胞菌 (SMRN 11)。



2025-02-25 患者体温平、气促较前稍好转。肺组织病理免疫组化及特殊染色无特殊;予出院,嘱口服激素32mg qd(后续遵医嘱减量)及左氧氟沙星0.5g qd治疗。



出院后随访:


2025-03-02 甲泼尼龙逐步减量(2025-02-26至03-02 32mg/8片 qd, 03-03至03-09 28mg qd),口服左氧氟沙星后出现皮疹且感染依据不足遂予停用。


2025-03-06 肺穿刺组织(02-17采样)、BALF+TBLB肺组织(均为02-20采样)及痰(02-18及02-21采样)细菌、真菌培养均阴性。


2025-03-10 随访血常规、ESR、CRP均正常,胸部CT:两肺病灶较02-17吸收,调整甲泼尼龙剂量为24mg qd×2周,此后每2周减量1片(期间患者口服激素剂量未严格遵医嘱减量)。


2025-04-08 肺穿刺组织(02-17采样)、BALF+TBLB肺组织(均为02-20采样)及痰(02-18及02-21采样)分枝杆菌培养均阴性。


2025-04-17 随访血常规、ESR、CRP均正常,胸部CT较03-10继续吸收,调整甲泼尼龙剂量为16mg qd×2周,此后每2周减量0.5片。


2025-06-12 随访血常规、ESR、CRP均正常,胸部CT病灶较04-17稍吸收,调整甲泼尼龙剂量为8mg qd×2周,此后每2周减量0.5片。


2025-07-14 出现咳嗽伴胸痛,期间口服激素剂量未严格遵医嘱,于当地医院完善胸部CT:较我院06-12片相仿,遂调整甲泼尼龙剂量为16mg qd ×3天,12mg qd ×3天,8mg qd维持。


2025-09-18 随访血常规、ESR、CRP正常,胸部CT较06-12仍有吸收,调整甲泼尼龙剂量为8mg qd维持。


2025-11-17 再次继续随访血常规、ESR、CRP均正常,胸部CT较09-18继续吸收,调整甲泼尼龙剂量为8mg qd×2周,此后每2周减量0.5片,持续随访中……



五、最后诊断与诊断依据


最后诊断

机化性肺炎


诊断依据:


中老年女性,急性发热伴气促起病,CRP轻度升高,胸部CT见两肺散发结节、斑片状影伴实变,可见“反晕征”,抗菌药物治疗无效;CT引导及支气管镜下肺组织活检,病理见胶原纤维组织略增生、间质内少量急慢性炎症细胞浸润,免疫组化、特殊染色均无殊,病原学涂片、培养、CT引导下肺穿刺组织mNGS均阴性,仅TBLB肺组织mNGS检出少许铜绿假单胞菌(定植不除外);后续患者经糖皮质激素治疗后症状好转、炎症标志物正常,肺内病灶明显吸收,故考虑机化性肺炎诊断明确。


六、经验与体会


机化性肺炎(organising pneumonia,OP)被认为是一种肺组织损伤后的修复模式,组织学上表现为远端气腔(肺泡腔、肺泡管及细支气管)内存在的息肉样栓子,主要由成纤维细胞、肌成纤维细胞和疏松结缔组织基质构成。其发病机制尚不明确,根据病因分为无明确诱因的隐源性机化性肺炎(COP)和继发于感染、结缔组织病、肿瘤等的继发性机化性肺炎(SOP)。OP的临床症状无特异性,可有咳嗽咳痰、发热、乏力等,影像学典型表现为肺外周或支气管血管周围的斑片状阴影,呈游走性,还可表现为伴有支气管充气征的肺实变、磨玻璃影、反晕征及网状结构等。该例患者肺部病灶表现为两肺散发的结节、斑片状影伴实变,尤其是有下肺慢性炎症灶见“反晕征”,与OP相符。


OP的诊断为排他性诊断,对于考虑SOP的患者,在诊疗过程中需去除相关致病因素,如药物、化疗、放疗等。回顾本例患者,除高脂血症外无其余明显基础疾病,既往仅有子宫+附件切除史,起病症状主要表现为急性发热伴气促,炎症标志物轻度升高、抗感染无效,结合影像线索,积极完善病原学(涂片、培养、mNGS)及肿瘤、自身免疫性疾病的检查,最终经“CT引导下肺穿刺+支气管镜TBLB”多途径活检,结合病理表现最终确诊。


OP的治疗依赖规范的糖皮质激素及良好的患者依从性,通常建议激素起始剂量为0.5-1.5mg/kg/day,6-12个月内缓慢减量。本例初始甲泼尼龙40mg qd静脉治疗,序贯口服逐步减量,治疗9月余后症状与影像均明显改善,期间有自行调整剂量症状波动,这提示我们治疗过程中需严格遵循“起始足量、缓慢减量” 原则,加强患者依从性管理。


OP的长期随访不可少:该病易复发,需长期监测症状、炎症标志物及胸部CT,根据病情动态调整激素剂量,本例随访至治疗9月病灶持续吸收,验证了长期规范随访对预后的重要性。



参考文献 

[1]. Talmadge E Jr, King,Joyce S, Lee,Cryptogenic Organizing Pneumonia.[J] .N Engl J Med, 2022, 386: 1058-1069.

[2]. Kimberlee, Ketchersid,A review of organizing pneumonia.[J] .JAAPA, 2023, 36: 16-19.

[3]. Michael Z, Root,Joyce S, Lee,Cryptogenic Organizing Pneumonia.[J] .Semin Respir Crit Care Med, 2025, undefined: .


作者:苑菲菲 马玉燕 金文婷;审阅:胡必杰 潘珏


本文转载自订阅号“SIFIC感染视界”

原链接戳:探案丨“抗”而不愈:一场肺内的隐秘侵袭



* 文章仅供医疗卫生相关从业者阅读参考


本文完

责编:Jerry

414